Key feature

Automated muscle quantification

MuscleMap's `mm_extract_metrics` is the command-line tool for quantitative muscle analysis, enabling automated estimation of muscle volume, cross-sectional area (CSA), intramuscular fat infiltration, and muscle density from MRI and CT images.

Animated example of MuscleMap muscle quantification

It supports Gaussian Mixture Models (GMM), K-means clustering for T1 and T2-weighted MRI, fat fraction for Dixon MRI and HU‑based fat quantification for CT in customizable (.csv) output formats.

This page explains:

  • how mm_extract_metrics works
  • all key command-line options
  • recommended workflows
  • output files and their interpretation
  • troubleshooting guidance

Tip: For the most up-to-date options in your installed version, run:

mm_extract_metrics --help

1. Basic usage

After generating a segmentation with mm_segment, run:

mm_extract_metrics -m gmm -r wholebody -i image.nii.gz -s image_dseg.nii.gz -c 3

This command:

  • loads the image (-i)
  • loads the segmentation (-s)
  • applies the chosen metric method (-m)
  • computes fat/water composition or tissue-specific statistics
  • outputs CSV + NIfTI metric maps (depending on options)

2. Required inputs

2.1 -i — Input image

The MRI/CT image from which metrics are extracted:

mm_extract_metrics -i sub-01_T2w.nii.gz

2.2 -s — Muscle segmentation labelmap

The muscle segmentation labelmap produced by mm_segment or from manual segmentation:

mm_extract_metrics -s sub-01_dseg.nii.gz
Warning
The segmentation must contain the same dimensions and orientation as the input image.

2.3 -o — Output directory

Output directory to save the results from mm_extract_metrics. If not specified, the results are saved in the same directory as the input image.


3. Metric computation methods (-m)

The -m flag determines how fat fraction / composition metrics are computed.

Supported values:

1. Dixon — Fat–water–based metrics

Uses Dixon-based fat and water separation to compute voxel-wise fat fraction and derive muscle composition metrics within the muscle segmentation.

mm_extract_metrics -m dixon -f fat.nii.gz -w water.nii.gz -s img_dseg.nii.gz 

2. gmm — Gaussian Mixture Model (MRI)

Uses a Gaussian Mixture Model (GMM) to separate tissue types by fitting multiple Gaussian distributions to the intensity histogram and classifying voxels based on their intensity-derived probabilities.

mm_extract_metrics -m gmm -i img.nii.gz -s img_dseg.nii.gz 

3. kmeans — Kmeans clustering (MRI)

Uses k-means clustering to partition voxels into intensity-based clusters by minimizing within-cluster variance, assigning each voxel to the nearest cluster centroid (e.g., fat vs. muscle) based on its intensity.

mm_extract_metrics -m kmeans -i img.nii.gz -s img_dseg.nii.gz
Warning
Use GMM and/or K-means clustering on T1-weighted or T2-weighted MRI only.

4. average — Density metrics

An averaging-based method to quantify muscle density by computing the mean voxel signal intensity within the muscle region..

mm_extract_metrics -m average -i ct_img.nii.gz -s ct_dseg.nii.gz
Warning
Use `average` metrics preferably for CT. MRI intensities do not reflect physical density.

4. Region selection (-r)

Choose which muscle regions to extract metrics for.

Example:

mm_extract_metrics -r wholebody

Common values include:

  • wholebody (default)
  • abdomen
  • pelvis
  • thigh
  • leg

Regions correspond to MuscleMap’s anatomical label groups.

Note
Region definitions are based on the MuscleMap atlas and segmentation model.

5. Number of clusters (-c)

Used only with GMM or Kmeans and T1- or T2-weighted MRI.

Example for 3 clusters:

mm_extract_metrics -c 3

Typical choice:

  • 2 clusters: fat vs. muscle
  • 3 clusters: fat, muscle, intermediate tissue
Note
Intermediate reflects a voxel with intermediate voxel signal not clearly corresponding to either fat or muscle.

6. Output files

mm_extract_metrics typically produces:

1. CSV file with summary statistics

Contains per-muscle metrics, dependent on the arguments, such as:

  • muscle volume
  • fat fraction
  • average density (e.g., for CT)

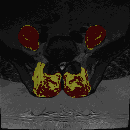
2. Voxel-wise metric maps (optional depending on method)

Examples:

  • Thresholding maps for either GMM or Kmeans and two or three clusters
Note
The thresholding maps can be loaded as a segmentation to visually check thresholding accuracy

7. Example workflows

7.1 MRI (T1/T2) using GMM

mm_segment -i sub-01_T2w.nii.gz
mm_extract_metrics -m gmm -i sub-01_T2w.nii.gz -s sub-01_T2w_dseg.nii.gz -r wholebody -c 3

7.2 MRI using k-means

mm_extract_metrics -m kmeans -i img.nii.gz -s img_dseg.nii.gz -r pelvis

7.3 CT muscle density (HU)

mm_extract_metrics -m hu -i ct_img.nii.gz -s ct_dseg.nii.gz -r abdomen

8. Best practices & troubleshooting

Warning
Always **visually inspect both segmentation and metric outputs** before analysis.

9. Summary

mm_extract_metrics is the quantitative analysis backbone of MuscleMap:

  • accepts MRI or CT images + segmentations
  • computes fat fraction, HU metrics, tissue composition
  • supports GMM, Kmeans, HU-based methods
  • outputs CSV and optional maps
  • integrates with mm_gui for streamlined workflows

← Back to MuscleMap overview


This site uses Just the Docs, a documentation theme for Jekyll.